
Tips for Hips
Maintaining Your Hip: Your Largest Weight-bearing Joint
The hip must support a lot of movement, from sitting to standing to running. In most cases, hip pain starts without an obvious injury. Despite the fact that hip pain can last for years, most cases of hip pain DO NOT require surgery. The Sport Medicine Centre's evening lecture Tips for Hips provided a review of diagnoses, a discussion of medical and surgical treatments, and recommendations for physiotherapy.
Medical Response to Hip Injury
Medical diagnosis of hip pain will first look at the history of the patient: the type of activity, patient age, whether the pain is acute or chronic, the type of pain (ie. sharp vs. stiff), and where the pain is occurring.
Where the hip pain occurs can be diagnosed as above or below the crease.
Above the crease can indicate abdominal/intra-pelvis issues, a hernia, or abdominal muscle injury (sport groin). Below the crease can indicate Medial (Adductor tendons, Symphysis pubis or Pelvic bone) or Anterior (Hip flexor or hip joint) issues.
Medical treatment includes the following options: guided injections, anti-inflammatory pills, cortisone injection, and Platelet Rich Plasma (PRP). Your medical doctor may also refer a patient to physiotherapy for strengthening exercises, or in more extreme cases, refer a patient to a surgeon.

Types of Imaging
Imaging refers to technologies used to view the human body for diagnostic and treatment purposes. These include the following methods:
- XRAY
- Ultrasound
- CT scan
- MR
- MRI
- MRA
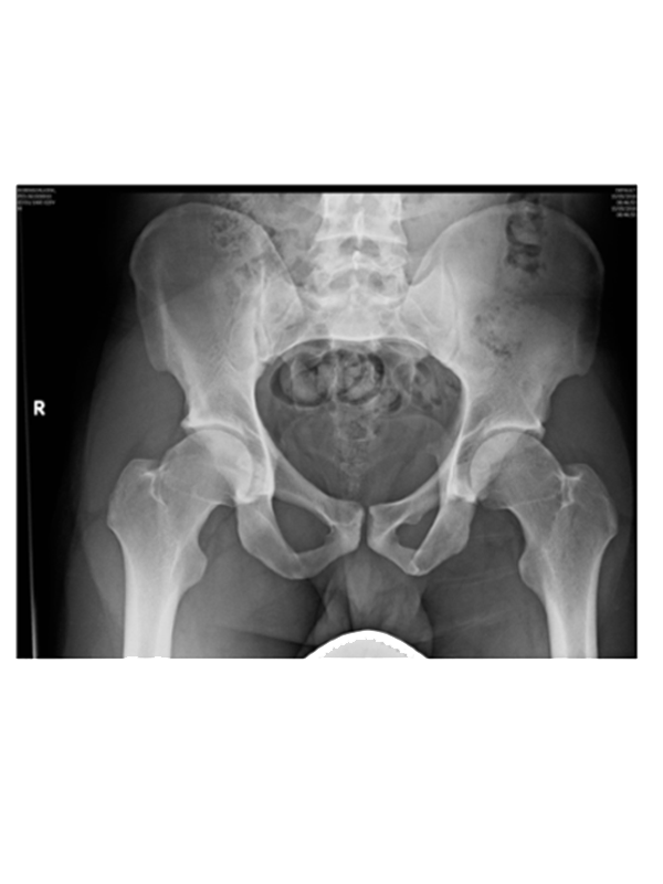
XRAY tells us the most information in hip diagnosis. It can determine Arthritis, Dysplasia, Impingement, and Fractures.
ULTRASOUND: There is almost no role for ultrasound in hip diagnosis.
CT Scan is used for diagnosis of bony anatomy (i.e., impingement), and to rule out fractures.
MRI is used to examine soft tissue: the labrum, cartilage, tendons, and ligaments. MRA may sometimes pick up “incidental findings” that are not the cause of the pain or symptoms.

Surgical Response to Hip Injury
Hip arthroscopy is a surgical technique used for certain hip issues. It is minimally invasive due to the small portals used. It involves general anesthetic and traction. Examples of some hip issues dealt with are:
- Labral repair
- Removing impingement (recontouring the bone)
- Loose body removal
- Snapping hip
Surgical treatment of the hip requires a long recovery time, and does not guarantee improvement in all cases.

Physiotherapy of Hip Injury
One of the MAJOR causes of chronic hip pain is MUSCLE IMBALANCE.
For every step we take, we essentially must balance on top of the ball inside our hip. If muscles misbehave, it will change the way we are using our leg and our balance on top of that ball. Possible reasons for muscles to misbehave include hip injury, lower back injury, or previous lower limb trauma. The result of the change is muscle imbalance.
Muscle imbalance is when certain muscles (usually very deep ones) stop working. This causes other muscles (usually more superficial ones) to do two jobs. The resulting symptom is that other muscles work too hard and become sore. The problem, however, lies with the weak muscle, not the sore one. This is the muscle that must be rehabilitated.
The key challenge of hip rehabilitation is to keep the patient motivated for the length of time needed to fix the problem and correct imbalance. This is a long process that typically takes 4-6 months. The physiotherapist's will assign specific exercises to the patient, striving to keep rehabilitation “achievable” given busy lifestyles.
